Logo Kurier Iławski

Pierwsza strona
INFORMACJE
Opinie
Papierosy
CENNIK MODUŁOWY
Ogłoszenia drobne
Stopka
Wyszukiwarka
FORUM

INFORMACJE
Z kopa w twarz. Śmiertelne pobicie
Szofer uratował niemowlaka
DOM DOBRY po iławsku
Chcemy wind na perony!
Cmentarz w stylu amerykańskim?
Miejsca na urnę nie zarezerwujesz
Sensacyjne znalezisko! Myślałam, że to dzwonek od roweru
Adam Żyliński dementuje plotki: Nigdzie się nie wybieram
Remont wiaduktu: Toniemy w korkach
Dojechali na wstecznym
Leśna Banda!
Burmistrz milioner
Szatan w rękach aniołów
Skarga na szpital. Pytania bez odpowiedzi
Potwór i morderca spod matki serca
Morderstwo przy tartaku
Mąż Niemiec nie jest zły!
Czy Jeziorak odpędza burze?
PSL chce zniesienia dwukadencyjności w gminach
Burmistrz bez zaufania
Więcej...

INFORMACJE

2018-07-25

Szpital. Leczenie metodą na milczenie


Karolina Wiśniewska zgłosiła się na iławski Szpitalny Oddział Ratunkowy z synem Szymonem, który po niefortunnym upadku skarżył się na ból łokcia. Wykonano prześwietlenie i stwierdzono stłuczenie. Wypisano chłopca do domu z zaleceniem opatrunków. Ręka jednak coraz bardziej puchła. Dzięki czujności matki dziecko ponownie trafiło do szpitala, ale tym razem w Nowym Mieście, gdzie stwierdzono złamanie łokcia z przemieszczeniem, a następnie do olsztyńskiego, w którym podczas operacji ustabilizowano rękę drutem. Poproszony przez nas o komentarz rzecznik iławskiego szpitala Tomasz Więcek milczy... od ponad 2 miesięcy.

Karolina Wiśniewska z Pietrzwałdu (gmina Ostróda) 27 kwietnia była w odwiedzinach u swojej siostry w Lubawie razem z 8-letnim synem. Szymon niefortunnie przewrócił się na trawie.

– Szedł i zahaczył o kamień – mówi kobieta. – Upadł na nadgarstki. Nie mógł ruszać ręką, która była bardzo opuchnięta, zwłaszcza w łokciu. Postanowiliśmy więc jechać z nim do Iławy, bo tu było najbliżej. Do tej pory byłam z tego szpitala zadowolona. Gdybym jednak wiedziała, że tym razem tak nie będzie, gnałabym z dzieckiem czym prędzej do Ostródy.

JEDEN SZPITAL

Pani Karolina od razu zgłosiła się z synem na Szpitalny Oddział Ratunkowy.

– Zaniepokoiło mnie to, że pani doktor zleciła wykonanie prześwietlenia przedramienia, a nie łokcia, choć to z nim był największy problem – mówi nam kobieta. – Pani, która wykonywała prześwietlenie, na moją prośbę złapała łokieć, choć nie powinna. Powiedziała, że widzi złamanie, ale to lekarz zdecyduje, co dalej.

Lekarka (personalia do wiadomości redakcji) na zdjęciu RTG dopatrzyła się tymczasem jedynie stłuczenia i z zaleceniami stosowania opatrunków z altacetem oraz okładów z lodu, wypisała dziecko do domu.

– Pani doktor bez żadnego tłumaczenia zapytała Szymona, czy chce, żeby mu włożyć rękę w szynę – opowiada pani Karolina. – Syn zrobił duże oczy i był przerażony. Oczywiście tego nie chciał. Koniec końców, lekarka nie powiedziała nawet, czy nosić rękę w chuście, ale że ręka bardzo bolała, tak właśnie zrobiliśmy.

Matka robiła chłopcu opatrunki zgodnie z zaleceniami.

– To jednak nie pomagało – mówi. – Noc nie była przespana. Syn ciągle płakał i skarżył się, że ręka boli. Myślałam, że to od stłuczenia. Byliśmy przecież u lekarza i tak stwierdzono. Ręka puchła jednak coraz bardziej. Kiedy kolejna noc wyglądała podobnie, stwierdziłam, że nie ma na co czekać. Trzeba szukać pomocy dalej.

DRUGI I TRZECI...

29 kwietnia matka zabrała 8-latka do szpitala w Nowym Mieście Lubawskim.

– Tu pan doktor w odróżnieniu do lekarki w Iławie zlecił wykonanie prześwietlenia jednej i drugiej ręki, dla porównania – opowiada pani Karolina. – Gdy tylko zobaczył zdjęcie, od razu stwierdził złamanie łokcia z przemieszczeniem. Nie było już pytania, czy dziecko chce mieć założoną szynę czy nie. Od razu to zrobiono i skierowano nas do Olsztyna.

Tego samego dnia matka z dzieckiem zgłosiła się do Wojewódzkiego Szpitala Dziecięcego.

– Pytałam tam doktora, czy na zdjęciu z prześwietlenia w Iławie widać złamanie – mówi kobieta. – Oczywiście potwierdził i pokazał mi nawet, gdzie dokładnie do niego doszło. Konieczna była prawie godzinna operacja, podczas której ustabilizowano rękę drutem. Przeprowadzono ją od razu, bo lekarz mówił, że każda minuta w tym stanie jest na niekorzyść dziecka.

Lekarz powiedział też matce, że sytuacja mogła skończyć się na samym nastawianiu, gdyby od razu zareagowano.

– Mam pretensję do siebie, że zaufałam pani doktor w Iławie – mówi kobieta.

ZERO ZAINTERESOWANIA

Chłopiec wyszedł z olsztyńskiego szpitala 1 maja. Gdy emocje nieco opadły, rozżalona matka zgłosiła się ze skargą do nas – z prośbą o opisanie całej sprawy. Po rozmowie z kobietą zadaliśmy pytania rzecznikowi iławskiego szpitala, Tomaszowi Więckowi. Zapytaliśmy, czy przypadek chłopca był konsultowany z ortopedą, np. lekarzem dyżurującym na oddziale chirurgii urazowo-ortopedycznej. Poprosiliśmy też o wskazanie, jakie działania w celu złożenia skargi na nieprawidłową diagnozę może podjąć matka. Zapytaliśmy też o ewentualny, szerszy komentarz według uznania.

E-maila wysłaliśmy 14 maja, załączając kopie wypisów ze szpitali oraz pisma podpisanego przez kobietę, upoważniającego nas do uzyskiwania informacji na temat zdrowia jej syna.

W środę 23 maja rzecznik poinformował nas, że przebywa na urlopie i po weekendzie zajmie się odpowiedzią na pytania. Kolejna wiadomość od Tomasza Więcka nadeszła jednak dopiero 11 czerwca.

– Lekarka, która miała dyżur podczas opisanej sytuacji, będzie na kolejnym dyżurze 22 czerwca – napisał nam rzecznik. – Dopiero wtedy będę mógł z nią porozmawiać w celu wyjaśnienia sprawy.

Cierpliwie czekaliśmy więc na kolejne wiadomości. Niestety, nie doczekaliśmy się ich do tej pory, mimo że od wysłania pierwszego e-maila minęły ponad 2 miesiące.

BĘDZIE SKARGA

Cały czas byliśmy w kontakcie z panią Karoliną, która dopytywała o komentarz szpitala do sprawy i termin ukazania się artykułu.

– Jak można w takiej sytuacji milczeć? – mówi nam załamana kobieta. – Szymon ma uszkodzony nerw i niedowład ręki przez zbyt późną operację. Muszę jeździć z nim na kosztowną rehabilitację, a szpital nawet łaskawie nie chce skomentować sprawy? To przykre, zwłaszcza że chodzi o dziecko.

By pomóc kobiecie i wskazać jej możliwości działania, skontaktowaliśmy się z olsztyńskim oddziałem Narodowego Funduszu Zdrowia. Odpowiedź otrzymaliśmy tego samego dnia.

– Pacjenci, którzy mają zastrzeżenia dotyczące sposobu leczenia, w pierwszej kolejności powinni kierować je do dyrektora szpitala, kierownika przychodni, rzecznika praw pacjenta, rzecznika odpowiedzialności zawodowej lekarzy Okręgowej Izby Lekarskiej lub do NFZ – wymienia Aleksandra Kuczko. – Tak też mogą postąpić rodzice 8-letniego Szymona.

Kuczko podpowiada, że z rzecznikiem praw pacjenta można skontaktować się na przykład przez ogólnopolską, bezpłatną infolinię 800-190-590.

Podaje też dane do biura okręgowego rzecznika odpowiedzialności zawodowej lekarzy: tel. 89 539-19-29 w. 44, e-mail: a.januszewicz@hipokrates.org

Zachęca również do kontaktu z olsztyńskim oddziałem NFZ: tel. 89 539-97-93, e-mail: wss@nfz-olsztyn.pl

KATARZYNA POKOJSKA






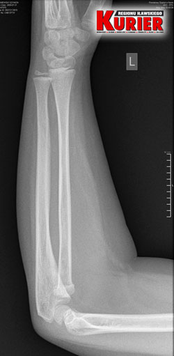
„W RTG bez ewidentnych cech świeżego urazu.
Zalecenia: opatrunki z altacetem, okłady z lodu, oszczędzanie”
– czytamy w wypisie z iławskiego szpitala






W nowomiejskim szpitalu od razu rozpoznano
złamanie łokcia z przemieszczeniem







W olsztyńskim szpitalu podczas operacji
ustabilizowano rękę chłopca drutem





W iławskim szpitalu
dziecku wykonano
prześwietlenie
jednej ręki
i dopatrzono się
jedynie stłuczenia





W nowomiejskim szpitalu dla porównania
wykonano prześwietlenie obu rąk i stwierdzono
w lewej złamanie łokcia z przemieszczeniem










  2018-07-25  

Z komentarzami zapraszamy na forum
Wróć   Góra strony
117880488



REDAKCJA:
redakcja@kurier-ilawski.pl


Zaproszenia: co, gdzie, kiedy?
informator@kurier-ilawski.pl


Biuro Ogłoszeń Drobnych:
ogloszenia@kurier-ilawski.pl


Biuro Reklamy:
reklama@kurier-ilawski.pl


Kronika Towarzyska:
kronika@kurier-ilawski.pl






Pierwsza strona | INFORMACJE | Opinie | Papierosy | CENNIK MODUŁOWY | Ogłoszenia drobne | Stopka | Wyszukiwarka
FORUM | 
E-mail: redakcja@kurier-ilawski.pl, reklama@kurier-ilawski.pl, ogloszenia@kurier-ilawski.pl
Copyright © 2001-2025 - Kurier Iławski. Wszystkie prawa zastrzeżone.