Logo Kurier Iławski

Pierwsza strona
INFORMACJE
Opinie
Papierosy
CENNIK MODUŁOWY
Ogłoszenia drobne
Stopka
Wyszukiwarka
FORUM

INFORMACJE
Z kopa w twarz. Śmiertelne pobicie
Szofer uratował niemowlaka
DOM DOBRY po iławsku
Chcemy wind na perony!
Cmentarz w stylu amerykańskim?
Miejsca na urnę nie zarezerwujesz
Sensacyjne znalezisko! Myślałam, że to dzwonek od roweru
Adam Żyliński dementuje plotki: Nigdzie się nie wybieram
Remont wiaduktu: Toniemy w korkach
Dojechali na wstecznym
Leśna Banda!
Burmistrz milioner
Szatan w rękach aniołów
Skarga na szpital. Pytania bez odpowiedzi
Potwór i morderca spod matki serca
Morderstwo przy tartaku
Mąż Niemiec nie jest zły!
Czy Jeziorak odpędza burze?
PSL chce zniesienia dwukadencyjności w gminach
Burmistrz bez zaufania
Więcej...

INFORMACJE

2014-09-24

Dziąsła krwawią, koniec żartów


Dbanie o zęby to dziś oczywistość. Nie każdy jednak zdaje sobie sprawę z tego, że żeby zęby były zdrowe, muszą mieć też zdrowe podłoże, czyli przyzębie. Choroby dziąseł to częsta dolegliwość, jednak niejednokrotnie bagatelizowana, przez co robi się jeszcze bardziej nieprzyjemnie. Co zrobić, żeby uniknąć kłopotów z dziąsłami? Jak leczyć, kiedy już takie kłopoty mamy? Na te pytania znajdziemy odpowiedzi w gabinecie dentystycznym ORTODENT przy ulicy Gdańskiej w Iławie.


CZYM SĄ DZIĄSŁA?

Wright, dentysta, uczony i badacz żyjący w XIX wieku uważał, że „dla praktykującego lekarza dentysty nie ma większej chwały niż wynikająca z zachowania naturalnych tkanek zęba”. Zęby są bardzo ważną częścią jamy ustnej, początkowego odcinka przewodu pokarmowego. Służą do odgryzania i rozcierania pokarmu. Oczywiście są też istotne ze względów estetycznych dla każdego dbającego o wygląd człowieka.

Aby jednak zęby mogły pełnić swoje niezwykle istotne dla całego organizmu funkcje, muszą być osadzone w zdrowych, prawidłowo funkcjonujących tkankach przyzębia.

W skład tkanek przyzębia wchodzą: dziąsło, ozębna, kość wyrostka zębodołowego i cement korzeniowy. Każda z tych tkanek pełni ważną rolę i jakiekolwiek anomalnie mogą poważne zaszkodzić zdrowiu przyzębia. Dziedziną stomatologii zajmującą się diagnostyką i leczeniem chorób przyzębia jest periodontologia.


JAK ROZPOZNAĆ CHOROBĘ?

W warunkach prawidłowych jedyną widoczną z powyżej wymienionych struktur przyzębia jest dziąsło. Ale to właśnie w tkankach dziąsła można zauważyć pierwsze objawy, takie jak krwawienie podczas szczotkowania zębów, świadczące o toczącym się stanie zapalnym. Objaw ten jest często bagatelizowany i zagłuszany „dobrą pastą” z reklamy.

Kolejnymi symptomami są zaczerwienienie i obrzęk dziąsła. Przyczyną stanu zapalnego dziąseł jest zalegająca na zębach i dziąsłach płytka bakteryjna, która jest miękką, białą substancją składającą się w 50%-90% z bakterii.

Na szczęście, na tym etapie, czyli w stanie zapalenia dziąseł, można przywrócić tkankom pełną sprawność, prawidłowy wygląd i wyeliminować objawy choroby. Tylko jak tego dokonać? Otóż, wystarczy skutecznie usuwać płytkę bakteryjną, nie tylko z zębów, ale też z dziąseł.

Najczęściej wystarczy modyfikacja nawyków higienicznych przez stomatologa – stosowanie odpowiedniej metody szczotkowania zębów oraz oczyszczanie przestrzeni międzyzębowych nitką dentystyczną lub specjalną szczoteczką do przestrzeni międzyzębowych. Są one bardzo newralgicznym miejscem w rozwoju stanu zapalnego, bowiem ich oczyszczanie często sprawia trudności, jest jednak czynnością możliwą do opanowania dla każdego z nas.

Nieefektywnie usuwana płytka bakteryjna z czasem wapnieje i tworzy się kamień nazębny, który dzięki swojej strukturze jest świetnym siedliskiem dla chorobotwórczych drobnoustrojów. Kamienia nazębnego nie można niestety usunąć samodzielnie w warunkach domowych, można tego dokonać w gabinecie stomatologicznym wykonując tzw. skaling.


SKUTKI CHOROBY

Nieleczone zapalenie dziąseł może rozwinąć się w zapalenie przyzębia, zwane również „paradontozą”. Choroba ta może dotyczyć pojedynczego zęba, kilku, a w najcięższych przypadkach całego uzębienia, doprowadzając z czasem do utraty zębów, często samoistnej.

Dużą rolę w powstawaniu i rozwoju choroby, oprócz nieskutecznego, nieregularnego oczyszczania zębów, odgrywają predyspozycje rodzinne oraz pewne nawyki, jak palenie papierosów.

Zapalenie przyzębia, rozwija się powoli, latami, a pierwsze objawy mogą być subtelne i często są bagatelizowane. Ich wczesne rozpoznanie warunkuje skuteczniejsze leczenie. Objawami zapalenia przyzębia, oprócz krwawienia dziąseł jest ruchomość zębów, ich migracje, zwiększają się odstępy między nimi, zęby mogą wyglądać na dłuższe, ustawione wachlarzowato. Mogą się pojawić wysięki ropne, nieprzyjemny zapach z ust.

Powyższe objawy związane są z destrukcją kości otaczającej zęby, nie można jej cofnąć, ale można zatrzymać i zapobiegać postępowi choroby.

Destrukcję kości klinicznie określa się jako kieszonki przyzębne, które są przestrzeniami patologicznymi znajdującymi się pomiędzy zębem a dziąsłem. Są one rezerwuarem kamienia nazębnego poddziąsłowego, niewidocznego „gołym okiem” oraz chorobotwórczych drobnoustrojów.


JAK LECZYĆ?

Paradontozę diagnozuje się w gabinecie stomatologicznym przeprowadzając specjalistyczne badanie zębów i przyzębia oraz wykonując zdjęcie rentgenowskie ortopantomograficzne, zwane też panoramicznym.

Leczenie zapalenia przyzębia obejmuje naukę prawidłowego oczyszczania zębów oraz profesjonalne zabiegi przeprowadzane w gabinecie stomatologicznym. Obejmują one skaling, czyli usuwanie kamienia nazębnego, również tego znajdującego się poniżej linii dziąsła a także kiretaż, polegający na usuwaniu zmienionej zapalnie tkanki.

Do metod leczenia zapalenia przyzębia zalicza się również bardziej zaawansowane procedury chirurgiczne, które umożliwiają częściową, a czasem nawet w znacznym stopniu, odbudowę zniszczonej kości utrzymującej zęby.

W leczeniu paradontozy stosuje się również szynowanie rozchwianych zębów. Bardzo ważna jest także współpraca periodontologa z ortodontą i protetykiem, która umożliwia prawidłowe ustawienie zębów, które zmieniły swe położenie w trakcie trwania choroby oraz odtworzenie zębów utraconych.

Udowodniono, że choroby przyzębia mogą mieć związek z chorobami ogólnymi, takimi jak: choroby sercowo-naczyniowe (zawał mięśnia sercowego), mózgowo-naczyniowe (udar mózgu), cukrzyca, zapalenia płuc, zaostrzenia przewlekłych i obturacyjnych chorób płuc, a także z przedwczesnym porodem i niską masą urodzeniową.

Periodontologia zajmuje się również leczeniem defektów śluzówkowo-dziąsłowych, takich jak np. recesje dziąseł, czyli „obniżanie” się dziąseł oraz chorób i zmian błony śluzowej jamy ustnej, takich jak afty, grzybica, liszaj płaski i wielu innych.


ŚWIADOMA DECYZJA

Leczenie zapaleń dziąseł i przyzębia, a także zapobieganie postępowi choroby, w znacznym stopniu zależy od nas samych. Jeśli wiemy jakie są objawy choroby i mamy świadomość konsekwencji, powinniśmy zgłosić się do specjalisty.

Leczenie wymaga skutecznego oczyszczania zębów i dziąseł od najmłodszych lat oraz wczesnej diagnostyki. Warto więc dbać i odbywać wizyty profilaktycznie, zanim potrzebne będą bardziej inwazyjne zabiegi.

BARBARA MOLĘDA-CISZEWSKA



ORTODENT
Iława, ul. Gdańska 5a/47
tel. (89) 649-53-70





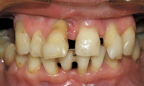
Tak wygląda postęp nie leczonej choroby.




Skutki zaniedbania mogą być fatalne.



  2014-09-24  

Z komentarzami zapraszamy na forum
Wróć   Góra strony
117883961



REDAKCJA:
redakcja@kurier-ilawski.pl


Zaproszenia: co, gdzie, kiedy?
informator@kurier-ilawski.pl


Biuro Ogłoszeń Drobnych:
ogloszenia@kurier-ilawski.pl


Biuro Reklamy:
reklama@kurier-ilawski.pl


Kronika Towarzyska:
kronika@kurier-ilawski.pl






Pierwsza strona | INFORMACJE | Opinie | Papierosy | CENNIK MODUŁOWY | Ogłoszenia drobne | Stopka | Wyszukiwarka
FORUM | 
E-mail: redakcja@kurier-ilawski.pl, reklama@kurier-ilawski.pl, ogloszenia@kurier-ilawski.pl
Copyright © 2001-2025 - Kurier Iławski. Wszystkie prawa zastrzeżone.